党委信箱 | 院长信箱 | English | 投稿专线

综合新闻

当前位置:首页 > 综合新闻

我院胸外科成功切除胸腔内巨大罕见肿瘤

党总支: 科室:党委宣传办 作者:谢卓 时间:2015/4/14 16:41:29 点击数:
打印 打印 字号:T| T

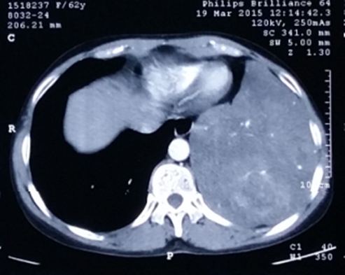
    近日,我院胸外科为一位62岁女性患者成功切除胸腔内巨大罕见肿瘤。该手术的成功,标志着胸外科在肿瘤治疗领域取得新的突破。 

 

术前检查显示,该患者胸腔内肿瘤巨大21*18*13cm,手术风险高,肿瘤切除过程中若出现大出血,止血非常困难,随时可能发生失血性休克,甚至导致死亡。另外,巨大的瘤体导致胸腔内手术操作空间局限,暴露艰难,加大了手术难度。而且该肿瘤为比较罕见的恶性孤立性纤维性肿瘤。手术风险很高,要求术中操作十分精准。 

    胸外科以金龙玉主任医师、曾磊主治医师为主的手术小组与手术、麻醉、输血科等相关部门对患者病情进行了认真仔细地评估,尽可能制定了一个周密的手术方案,经过精心术前准备后,历经2小时紧张而细致的“战斗”,1.65公斤重的巨大肿瘤被完整切除。在全科医护人员的共同努力下,患者顺利度过了呼吸、循环、感染“三大难关”,术后未发生任何术后并发症,恢复良好。
    金龙玉主任医师手术小组今年已经连续成功切除此类病例两例。另一例为12岁少年患者,肿瘤大小为30*18*7.5cm(右侧胸腔),肿瘤重量2.25千克。

预约挂号:0731-88618576、88618577   急救电话:0731-88618120

医院地址:湖南省长沙市河西岳麓区桐梓坡路138号 中南大学湘雅三医院 版权所有

湘教QS3-200505-000574 备案序号:湘ICP备05001139号 今日访问人数:146750 总访问人数:566734571

技术支持:长沙网站建设-国捷人工智能