党委信箱 | 院长信箱 | English | 投稿专线

综合新闻

当前位置:首页 > 综合新闻

骨科完成湘雅系统首例SuperPath微创髋关节置换

党总支: 科室:骨科 作者:何金深 时间:2015/11/10 23:37:57 点击数:
打印 打印 字号:T| T

11月9日,我院骨科在吴松主任带领下,应用SuperPath微创技术完成湘雅系统首例微创全髋关节置换术,术后第2天患者可完全负重。

 

SuperPath(Supercapsular Percutanously Assisted Total Hip)指经皮穿刺辅助的微创全髋关节置换手术。该技术由美国亚利桑那州凤凰城圣路加医学中心(St. Luke’s Medical Center, Phoenix, Arizona, USA)的James Chow博士首创,2015年年初才引进中国,目前国内仅北京、上海少数医院可以开展。手术切口更小,术中失血更少,术后疼痛更轻、康复更快,更加符合目前“快速康复”的理念。

SuperPath技术简图

57岁的姜先生就是湘雅系统首位受益于此手术的患者,他在过去5年反复出现右侧髋关节疼痛,且开始出现了跛行症状,诊断为“右侧股骨头坏死”,被当地医院告知后半生将坐轮椅终生残疾,因此慕名来我院就诊,吴松教授、沈民仁副教授及彭智主治医师在综合评估患者情况后,决定为患者采用最为先进的SuperPath技术,实施微创换髋,切口长度仅6cm,术中分离软组织过程中不需要切断任何肌肉和肌腱,从而为患者术后快速康复提供良好的肌张力,手术用时仅1个半小时,术中出血较传统手术明显减少。

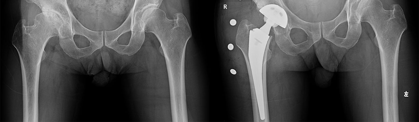
术前术后X-ray

SuperPath技术是换髋历史上的真正微创,患者最快术后几小时即可下床,大大缩短了患者住院天数,手术效果和术后恢复速度都令人满意。

预约挂号:0731-88618576、88618577   急救电话:0731-88618120

医院地址:湖南省长沙市河西岳麓区桐梓坡路138号 中南大学湘雅三医院 版权所有

湘教QS3-200505-000574 备案序号:湘ICP备05001139号 今日访问人数:106368 总访问人数:561425229

技术支持:长沙网站建设-国捷人工智能