10月23至25日,在第30次中华医学会器官移植学年会上,中南大学湘雅三医院病理科主任初令作了移植相关特殊感染病理诊断的专题报告,通过七个病例的深入剖析,系统展示了湘雅三医院在感染性疾病病理诊断领域建立的“形态学-特殊染色-免疫荧光-分子检测”多维诊断体系的技术突破,这种诊断新范式得到多位相关专家认可,并在会后要求继续交流学习。
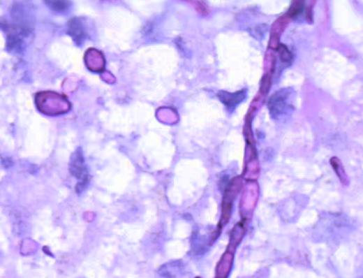
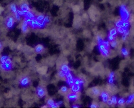
初令介绍,组织镜下发现肉芽肿,运用特殊染色及真菌免疫荧光等发现明确病源体类型,通过石蜡组织切片进行靶向高通量测序(TNGS(DNA)-META)锁定病原体,如烟曲霉、白色念珠菌、新型隐球菌等。这种从形态学疑诊到分子确认的全流程,充分展现了特殊感染多维诊断体系的综合优势。

除了真菌感染,该体系在抗酸分枝杆菌特殊感染的确诊方面也展现出强大价值。前期临床高度怀疑鼻咽癌的29岁女性患者,活检组织送至病理科通过特殊感染多维诊断体系:镜下观察发现肉芽肿;免疫荧光示抗酸阳性;TNGS(DNA)-META检测出结核分枝杆菌感染,为患者治疗指明了方向。另一例肺结节患者活检发现肉芽肿,抗酸染色及抗酸荧光阳性,但经TNGS(DNA)-META检测发现病原体为鸟分枝杆菌而非结核分枝杆菌,临床给予针对性用药明显好转出院。

这些病例成功诊断的核心引擎,正是新湘雅病理科着力构建的“形态学为基础-特殊染色初筛-免疫荧光精查-石蜡切片NGS测序确认”特殊感染多维诊断体系。该体系以传统的HE染色、特殊染色为基础,与新型的免疫荧光技术、前沿的石蜡切片TNGS(DNA)-META技术有机整合并互相印证,形成了强大的诊断合力。免疫荧光技术显著提高了病原体筛查敏感性,而TNGS(DNA)-META技术则实现了病原体的精准鉴别,多种技术优势互补,显著提升了诊断精准度。
中南大学湘雅三医院病理科始终以精准诊断为目标,积极利用新技术手段,以病理形态学为基础紧密结合临床为患者明确诊断,多维度特殊感染诊断新范式标志着病理科在感染相关疾病的诊断中迈出了坚实的一步。未来,中南大学湘雅三医院将继续致力于引进和开发前沿诊断技术,不断优化诊疗流程,以更精准的诊断、更优质的服务,守护人民群众的生命健康。
[上一篇] 临床营养科开办第七届磁导航及可视化鼻空肠...
[下一篇] 湘雅三医院儿科肿瘤照护领域创新实践获评全...
人民网 | 新华网 | 中华人民共和国国家卫生健康委员会 | 中华人民共和国教育部 | 湖南省政府 | 红网 | 湖南省卫生健康委员会 | 湖南省教育厅 | 中南大学 | 湘雅医学院 | 湘雅医院 | 湘雅二医院 | 协和医院 | 华西医院 | 西京医院 | 瑞金医院 | 复旦中山医院 | 武汉同济医院 | 中山医院
医院地址:湖南省长沙市河西岳麓区桐梓坡路138号 中南大学湘雅三医院 版权所有
湘教QS3-200505-000574 备案序号:湘ICP备05001139号 今日访问人数:111788 总访问人数:503492154