党委信箱 | 院长信箱 | English | 投稿专线

学术交流

当前位置:首页 > 学术交流

湘雅三医院干细胞与再生医学转化联合实验室携手国内精英团队发表原创性新冠文章

党总支:第三党总支 科室:其他 作者:陈政 时间:2021-02-21 点击数:
打印 打印 字号:T| T

2021年2月10日,“湘雅三医院-源品细胞生物技术有限公司干细胞与再生医学转化联合实验室”科研团队携手国内精英团队完成的关于“伴随新冠患者不同病程,具有不同程度的血栓形成和凝血功能异常”的重大科研发现在《Thrombosis Journal》杂志发表。该杂志是亚太血栓形成和止血协会(APSTH)的官方指定期刊,主要出版有关血栓形成领域的临床和基础研究的新方法、病例报告与评论的原创文章,是血栓期刊中的最权威顶级期刊之一。

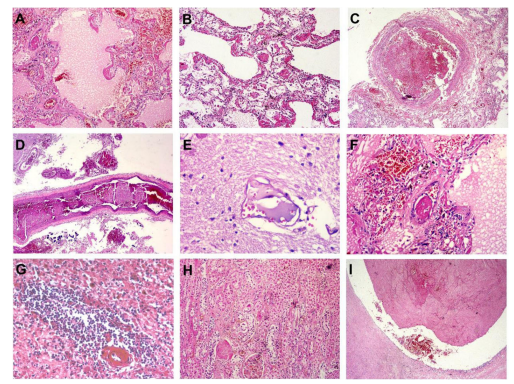
在抗击新冠战疫中,湘雅三医院出征武汉,取得瞩目成绩。在抢救治疗的同时,积极科研攻关。其中干细胞与再生医学转化联合实验室骨干PI蒋铁斌副教授身处武汉抗疫一线,积极收集新冠疾病第一手临床资料,联合国内精英团队,利用计算机数学模型统计和分析了407例轻症、重症、危重症新冠患者病例特征,结合COVID-19相关死亡患者尸体解剖的组织病理学发现,全面分析了凝血功能的变化及相关性,发现了新冠患者随着病程的变化,有不同程度的全身微小血栓形成。

与COVID-19相关的死亡的组织病理学发现

此研究通过对新冠肺炎患者的凝血指征进行流行病学统计分析并结合新冠肺炎死亡患者的尸检结果,证实了新冠肺炎患者具有血栓形成的现象和凝血功能异常的指征,对新冠肺炎尤其是重症患者的临床治疗方案制定具有重要的指导意义。

患者相关指征变化

此研究揭示了血栓形成过程中与凝血相关指标的的重要性。这些结果将有助于检测新冠患者感染的不同程度及对新冠患者的治疗提供指导意义,并且进一步扩大入组范围,利用此数学模型将对血栓性疾病的精准预测和预防具有重要意义。

湘雅三医院援鄂国家医疗队医疗蒋铁斌副教授、同济大学再生医学中心吕波博士、中南大学计算机与工程学院何世文教授等人为该文第一作者,是国内团队关于“新冠与血栓形成研究”的重大发现,并在国际血液权威期刊发表,具有里程碑式的意义。

干细胞与再生医学转化联合实验室骨干PI蒋铁斌副教授在武汉抗疫期间,在张国刚教授指导下作为执行PI进行干细胞治疗新冠的临床研究工作,同时还参与源品干细胞研究团队“脐带间充质干细胞治疗新冠肺炎关键新技术和临床应用研究方案”。该研究团队对康复患者外周血单核细胞进行单细胞测序,发现经干细胞治疗后的患者与抗凝血相关基因在多种单核细胞中高表达。提示:间充质干细胞在一定程度上可以促进修复新冠患者血管内皮损伤,并抑制患者全身微小血栓形成。

二审: 谢卓     三审:李姗
分享到:
预约挂号:0731-88618576、88618577   急救电话:0731-88618120

医院地址:湖南省长沙市河西岳麓区桐梓坡路138号 中南大学湘雅三医院 版权所有

湘教QS3-200505-000574 备案序号:湘ICP备05001139号 今日访问人数:189665 总访问人数:587723878

技术支持:长沙网站建设-国捷人工智能